歯を失うのは自信を失うことでもあります。この点インプラントは、見た目と機能を回復させるための有効な治療法です。とはいえ、インプラントは高額な治療ですから、さまざまな疑問がわいてきて「デメリットについても知っておきたい」と思われるでしょう。
本記事では、前歯をインプラントにするメリット・デメリットについて詳しく解説し、インプラント手術が難しい場合の対処法についても紹介します。適切な判断をするためにも、インプラント治療に関する情報収集にお役立ていただければ嬉しく思います。
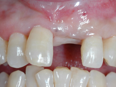
前歯のインプラント治療は、その高い難易度から対応が難しく、どの歯科医院でも受けられるわけではありません。なぜ前歯のインプラントがそれほど難しいのか、以下の5つのポイントをご説明します。
欧米人と比べてアジア人、特に日本人の上顎は下顎に比べて骨の量が少ない傾向にあります。さらに前歯は骨が薄く、女性は男性より薄いことが多いです。インプラントを支えるには、十分な骨の量が必要になってくるので、骨が少ないとインプラントがしっかりと生着しない事があります。
また、歯が無い期間が長いとだんだん骨が痩せていってしまうため、インプラント治療をする難易度が上がります。このように元々骨の量が少なく、インプラントを希望する患者さんの上の前歯の骨の量は少ない傾向にあるため、前歯のインプラントは難しいことが多いのです。
「骨量が不足しているためインプラント手術は困難」と診断された場合でも、高度な骨造成技術を習得している歯科医を見つければ、インプラント治療を受けられる可能性があります。骨造成は歯科大学のカリキュラムには含まれていないため、卒業後に歯科医師自身が研鑽を積まなければ習得できない技術で、骨造成に対応できる歯科医師も限られているのです。
当院は歯槽骨を再生して骨の高さや厚みを増やし、インプラントを埋入してきた実績があります。骨の幅や高さが不足している場合の骨造成術に関しては、下記のコラムをご覧ください。

上の前歯は審美的な要求が非常に高い部位です。普通の差し歯でも前歯は見た目の美しさが重要なため難しいですが、インプラントではさらに難易度が上がります。インプラントの場合は被せ物の色形だけでなく、骨や歯茎の厚みなど、歯の周りにある組織の形状も整えないといけません。
また、インプラントを行う部位の骨や歯肉が薄いと、その部分の歯茎が下がるリスクがあります。
骨や歯肉が薄い場合には、骨を増やす治療や歯茎を増やす治療をインプラントと共に行う必要があります。
先述したように、非常に薄い骨の中にインプラントの埋入が求められることに加え、前歯のインプラント治療で審美的な仕上がりを実現するためには、インプラントの埋入位置が極めて重要です。わずか1 mmのズレや角度が5度違うだけで、最終的な見た目に大きな影響を与えるためです。ねじれた位置に埋入されと歪な被せ物しか作れなくなります。
また、特に下顎の前歯は神経が近いため、インプラント手術の際に神経が損傷するリスクがある点も難易度を高める要因の一つです。そのため、前歯のインプラント治療では、シミュレーションソフトを用いた精度の高い埋入計画が不可欠です。シミュレーションソフトにより、正確な位置にインプラントを埋入するための情報が得られます。
前歯のインプラント治療には、FGGやCTGなどの高度な歯肉移植手術が必要なケースがあります。例えば、歯を抜いた結果として抜いた箇所がへこんでしまい、インプラントを保護するために必要な歯茎の厚みが不足する場合などです。
前歯は外見に重要な役割を果たすため、自然な見た目を再現するためには周囲の歯肉や骨の状態を整える必要があります。このように、歯肉移植が必要なケースでは手術の難易度が高くなり、専門的な知識と経験が必要です。また、手術後の経過も慎重に管理する必要があります。
実際のところ、歯肉移植は骨造成と同様に歯科大学のカリキュラムには含まれていないため、卒業後に歯科医師自身が別途研修を受けて習得する技術です。そのため、歯肉移植に対応できる歯科医師は非常に限られています。
言い換えれば、他のクリニックで前歯のインプラント治療を断られた場合でも、高度な歯肉移植技術を持っている歯科医を見つければ、インプラント治療を受けられる可能性があります。
歯肉移植によってインプラントの周りが汚れにくくなり、インプラント周囲炎の予防にもつながります。歯肉移植についてさらに詳しくお知りになりたい方は、治療事例を含む下記の記事を参考になさってください。
【関連記事】連続した2本のインプラントの配置は、前歯のインプラント治療でより難しい課題とされています。このような場合は症例ごとに最適な治療計画を立てるため、信頼できる歯科医師への相談が重要です。
前歯のインプラント治療では、連続した2本のインプラントを埋入するのが特に難しいとされています。前歯部分は他の歯に比べて骨が薄いため、2本のインプラントをしっかりと固定するのが難しいのです。さらに、一般的には下顎より上顎の方が骨の量が少ないとされているため、治療にはさらなる困難が伴います。
骨密度が低い場合、顎骨に埋め込んだ人工の歯根と骨の結合に時間がかかります。下顎では1~2カ月ほどで結合が完了しますが、上顎では2〜3カ月前後かかるのが一般的です。治療に時間がかかる点も、前歯(特に上顎)のインプラント治療が難しいとされる理由の一つです。
治療期間が長くなる理由はやはり骨造成と軟組織移植にあります。上顎前歯は骨が薄く骨造成なしに埋入できることはほぼありません。一番長くなるケースは抜歯後3ヶ月治癒を待って骨造成して3ヶ月待ってインプラントを埋入して3ヶ月待って軟組織移植して2ヶ月待って仮歯で歯肉の形を3ヶ月かけて作るパターンです。
平均的には抜歯後2ヶ月後にインプラント埋入と同時に骨造成して3ヶ月後に軟組織移植を行い同時に仮歯での軟組織の形態修正を行い3ヶ月かけて行います。
2本の連続した前歯をインプラントにする際には、歯間乳頭に問題が生じる可能性があります。歯肉には歯の間にある「歯間乳頭」と呼ばれる部分があり、前歯の歯間乳頭が失われると、「ブラックトライアングル」と呼ばれる審美的な問題が生じます。
前歯の歯の間には三角形状の歯肉があり、この部分が失われると三角形の隙間が影になって暗く見えるため、「ブラックトライアングル」と呼ばれているのです。
歯間乳頭の再形成は可能ですが、前歯に2本の連続したインプラントを埋め込む場合、インプラントの間の歯間乳頭を形成するために高度な技術が求められます。
前歯2本の連続したインプラントを配置する際には、隣接する歯との距離や咬み合わせなどを慎重に考慮する必要があります。特に前歯は外見に与える影響が大きいため、インプラントの位置や形状が非常に重要です。美しい自然な見た目を再現するためには、慎重な計画と技術が求められます。
インプラント手術において、隣接する天然歯との距離は最低1.5mm、インプラント同士の距離は3.0mm以上のスペースが必要です。この距離が確保されないと、顎の骨に十分な栄養が行き届かず、骨が壊死するリスクがあります。

また、隣のインプラントが近過ぎる状態では、骨吸収が起きて歯が動揺(グラグラする)してしまう可能性があります。スペースが不足する場合は矯正治療を行い、スペースを拡張する方法が考えられるでしょう。
さらに、歯の抜歯が伴う場合は歯茎の形状が変化しやすくなります。特に前歯の抜歯は外見に影響を与えるため、隣接するインプラントの歯茎の形状を保持しつつ、慎重に処置する必要があります。
このように、連続した前歯2本のインプラント治療は、前歯1本の治療に比べて技術的な難易度が高くなります。そのため、前歯のインプラント治療は十分な経験と技術力を持つ歯科医院でないと施術が難しいのが実情です。
以上のように、これまでのコラムで述べてきたインプラントの知識と技術を総動員しないと、前歯のインプラントを審美的に仕上げるのは困難です。

前歯のインプラント治療は先述した通り難易度が高いため、対応できる医院が限られてきます。それでも前歯のインプラント治療に多くの人が魅力を感じるのは、他の治療方法(ブリッジ・入れ歯)に比べて大きなメリットがあるからです。
このセクションでは、以下に示す前歯のインプラント治療で得られる5つのメリットを詳しく解説します。
インプラントの審美性の高さは、よく目につく前歯で実感しやすいポイントです。インプラントは被せ物を製作する際に、色合わせをして見た目や形状を細かく調整できるため、自然な歯に近い美しい見た目を実現できます。また、インプラントは周囲の歯との調和も図れるため、美しい歯並びを作り上げることも可能です。
部分入れ歯の場合、針金が見えるなど審美的な問題が発生する場合がありますが、インプラントは天然歯と比べても遜色のない見た目を提供します。
前歯のインプラントは、噛む力が天然の歯と同じくらい強力です。インプラントは顎骨と結合して固定されているため、しっかりと咬めます。口蓋が覆われて味や温度を感じづらい総入れ歯より、食べ物の美味しさをより一層感じられるでしょう。
また、インプラントは顎の骨と結合して咀嚼力を維持できる利点があるため、顎の骨の健康を維持する役割も果たします。歯を失うと骨吸収によって周囲の骨まで減ってしまいます。しかし、早い段階でインプラント治療が完了すると、噛む力がインプラントを通じて骨に伝わり、インプラント周囲の骨吸収が抑えられて骨の状態を良好に保ちやすくなるのです。
インプラントは長持ちするのが魅力の一つです。保険診療で提供される部分入れ歯は通常5年程度、ブリッジは7~8年程度の寿命とされています。一方、インプラントを適切にメンテナンスすれば10年以上使用可能です。適切なブラッシングや定期的な歯科医院でのメンテナンスにより、インプラントの寿命を延ばせます。
インプラントは顎の骨に直接固定して独立しているため、周囲の健康な歯に負荷をかけず、悪影響がありません。年齢を重ねるごとに健康な歯を残すことがより重要になっていくため、これは大きなメリットです。
ブリッジの場合は、欠損部分を補うために隣接する健康な歯を削って寿命を縮めてしまい、隣接する歯には欠損した歯の分まで負荷がかかります。失われた1本の歯のために、両隣にある2本の歯の健康を損なうリスクを負うべきなのか、疑問を感じる方もおられるでしょう。
同様に、部分入れ歯もクラスプという金属製のバネを使って周囲の歯に負担をかけるため、歯の寿命を縮める可能性があります。この点、インプラントは他の歯を傷つけずに健康な歯を温存して、負担を軽減する方法として優れています。

インプラントは発音のしやすさが一つのメリットです。インプラントは天然歯に近い構造のため、口内で舌の動きを妨げて発音に問題を抱えることが少なく、自然な会話が可能です。これにより、日常のコミュニケーションをストレスなく楽しめます。
入れ歯は噛む力が弱くなったり、発音が不明瞭になったりするのがデメリットです。入れ歯の場合は厚みやゆるみ、位置の変動などさまざまな要因で発音に支障があり、とりわけ舌の動きの妨げになると発音が難しくなります。
入れ歯は歯茎を広範囲に覆うため、滑舌が悪くなる問題が生じます。特に上顎を総入れ歯にすると大きく上顎を覆ってしまうため、声がこもって話しにくさを感じるかもしれません。
一方、インプラントは歯茎を覆う必要がないため、発音に問題を感じることはないでしょう。滑舌に影響を与えることなく、普段通りに話せるのが大きなメリットです。インプラントは自然で快適なコミュニケーションを維持するための優れた選択肢といえます。
関連記事
前歯のインプラント治療は、見た目と機能を回復するために有効な選択肢ですが、前歯のインプラント治療を受けるかどうかを決める前に「デメリットを知っておきたい」と思われるでしょう。前歯のインプラント治療には、以下に挙げる4つのデメリットがあります。
インプラント自体は人工物のため虫歯にはなりませんが、「インプラント周囲炎」になるリスクがあります。これは、「インプラントの歯周病」ともいえる病気です。
歯は「歯槽骨」という骨に支えられていて、この歯槽骨がインプラント周囲炎の影響で減少することがあります。骨が減る現象は「骨吸収」と呼ばれ、歯垢(プラーク)に含まれる細菌が歯槽骨を溶かしてしまうために起こるケースがあります。
天然歯に比べてインプラントはプラークが繁殖しやすく、インプラント周囲にプラークや歯石があると、そこから歯槽骨が溶け始めます。しかし、これらは日々の正しいブラッシングや定期的なメンテナンスで防ぐことが可能です。
インプラント周囲炎の進行と対策
インプラント周囲炎は、インプラント周囲の骨吸収を引き起こす細菌感染が原因で発生するケースが多いです。歯肉や歯槽骨の破壊が徐々に進行すると、インプラントを支える力が失われます。糖尿病・貧血、歯ぎしりや喫煙の習慣なども歯周病菌への抵抗力を弱めます。
さらに症状が進行して「インプラント歯周炎」になると、急速に歯槽骨の炎症が広がり、最悪の場合にはインプラントや周囲の歯が抜け落ちる可能性があります。インプラント周囲炎の原因や予防・治療に関しては、下記のコラムをご覧ください。
【関連記事】インプラント治療は基本的に保険適用外のため、費用はすべて自己負担です。そのため、保険を使用して治療できるブリッジや部分入れ歯と比較すると、支払う費用が高くなる傾向があります。しかし、医療費控除の対象となるため、確定申告を行うと経済的な負担を軽減できます。
医療費控除は、1年間に支払った医療費が10万円を超える場合に、所得控除を受けられる制度です。ただし、保険会社や健康保険から支払われる保険金があれば、医療費の総額から差し引く必要があります。当院での治療を検討されている方で、詳しい情報が必要な方は、お気軽にお問い合わせください。
前歯1本のインプラント治療に必要な費用は、平均的にいって30万円から40万円が相場です。基本的なインプラント費用の内容は以下の通りです。
| 項目 | 費用 |
|---|---|
| 検査・診断料金 | 15,000円~50,000円 |
| インプラント手術費用 | 150,000円~350,000円 |
| 上部構造(人工歯)の費用 | 50,000円~200,000円 |
| 平均的な合計の費用相場 | 300,000~400,000円 |
上記の費用を合計すると、平均的にいって基本的に必要な費用は約30万円から40万円程度となります。インプラント費用には人工歯・アバットメント・インプラント体・手術の費用が含まれます。通常、初期診断やCT撮影、術後のアフターケアなどは別料金となることが多いので、事前に治療計画と費用の詳細を確認なさってください。
そして、インプラントは自由診療のためクリニックによって費用が異なり、都市部では料金が高めに設定されることが多いです。インプラントの素材・メーカー・種類によっても変動しますので、参考程度にお考え下さい。使用する素材は輸入が必要なため、インプラント費用は近年の円安の影響を受けて上昇しています。
前歯のインプラント治療で必要になるケースが多い追加費用
一般的に前歯のインプラント費用は、他の歯の治療に比べて高額です。前歯の治療は機能性だけでなく審美性も重要なため、難易度が上がるからです。具体的には、「色味や形を隣の歯と調和させる」「自然なボリュームを保つ」「根元の金属が見えないようにする」など、多くの条件を満たさなければならないため、費用が高くなる傾向にあります。
前歯の骨や歯茎の状態が良好であれば、奥歯のインプラントと同様の費用で済みますが、骨造成や歯肉移植などの付帯手術などにより追加費用が発生するケースがあります。
先述した通り、前歯は奥歯より骨が薄く、歯が抜けた箇所では骨吸収が起きるため、骨密度や骨量が不足しているケースが多いです。骨密度や骨量が不足している場合には「骨再生治療」が必要となり、インプラントを支えるための骨を増やす治療を行います。
実際に骨再生治療が必要かどうかを判断するためには、CT撮影が必要です。骨再生治療や歯肉移植が必要な場合は、それぞれ約10万円前後の追加費用がかかり、骨造成術の場合は10万〜25万円程度かかります。

前歯のインプラント治療は、治療期間が長いこともデメリットとして考慮しなければなりません。インプラント治療の完了までには、下記に示すように最短で3カ月、約4~6カ月程度の時間が必要です。
2回の手術と治癒期間を合わせると、インプラント治療の完了まで通常4~6カ月の期間が必要です。実際の手術時間は、インプラント1本だけの場合で約30分程度です。最終的に被せ物を装着するまでの間は仮歯
同じインプラント手術をしても、人によって治療期間は大きく異なってきます。治療期間が長くなる要素は以下の3点です。
インプラントと骨が結合するまでの期間
インプラントが骨と結合するまでの期間は、骨の硬さに比例します。早ければ2~3カ月で結合しますが、場合によっては6カ月以上かかるケースもあります。下顎は皮質骨が厚くて非常に硬いため比較的早く、骨との結合には約3カ月前後かかるのが一般的です。一方、上顎は海綿骨が多くて全体的に柔らかいため、5カ月前後の治癒期間が必要です。
また、患者の健康状態や骨の状態によっても変わり、個人差があります。一般的に、喫煙者や骨の健康状態が悪い人ほど、固定化までの期間が長くなる傾向があります。
骨の厚みや幅が不足している場合
骨の厚みや幅が不足している場合には骨を増やす手術(GBR法など)を行うため、さらに1~4カ月程度の追加期間が必要です。
歯周病の場合
歯周病がある場合、先に歯周病の治療が必要です。歯周病の治療は軽度から重度の歯周病まで幅がありますが、約3カ月~1年程度の時間が必要になるでしょう
前歯のインプラント治療を受ける前にリスクとなる注意点を確認し、治療に向けて準備を整えましょう。これにより、治療の成功率がさらに高まります。
インプラント治療を行う前に、他の歯の歯周病が完治していることが大切です。歯周病があると口内に歯周病菌が繁殖し、インプラント周囲炎のリスクが高まるためです。歯周病はインプラントの寿命を急速に縮めてしまい、最悪の場合抜け落ちてしまうため、先に歯周病をしっかり治しましょう。
インプラント治療の成功率を向上させるためには、禁煙が必要です。喫煙はインプラント歯周炎や感染症のリスクが上がりますので、可能ならこの機会に完全に禁煙しましょう。
特にインプラント手術をする2~3週間前から、骨と結合したのを確認できる3~5カ月後(それ以上の期間が必要な場合もあります。)までは喫煙を控えるよう推奨します。
糖尿病があると、インプラント治療が難しくなります。高血糖状態では傷の治りが遅く、細菌への抵抗力も落ちるため歯周病の感染リスクが高まるためです。しかし、血糖値が安定している場合はリスクが低減し、インプラント治療が可能です。
以下に当院のインプラント治療の流れを示します。
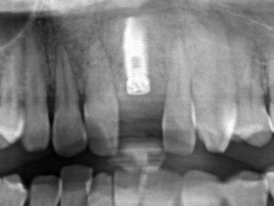
シミュレーションソフトを用いて正しいポジションにインプラントを埋入。
インプラントは骨の中に入るようにできるだけ細いものを使用していますが、それでも骨造成は必要です。
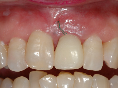
この時点では、歯と歯の間の「歯間乳頭」と呼ばれる歯茎が不足しているため隙間が空いており、インプラントの被せ物がいかにも人工物のように感じるため、審美的な仕上がりとはいえない。
そこで、上顎から切り取ってきた歯茎をインプラント周りに移植し、歯茎に厚みを持たせます。
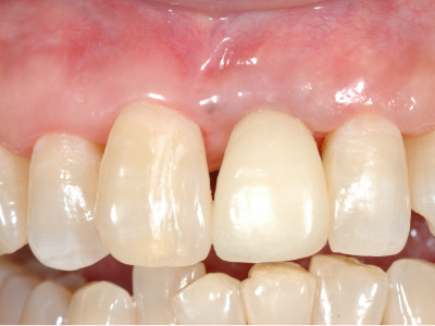
歯茎の移植によって歯茎の隙間が埋まり、より自然な見た目を実現できました。
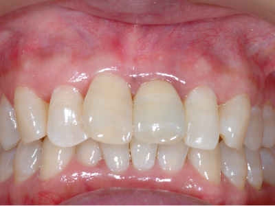
最終的に、周りの歯の色と形に調和するセラミックの被せ物をインプラントにセット。
歯茎との間に隙間がありませんし、色形のみでなく、すべてにおいて審美的に優れた仕上がりとなりました。
インプラント周りに骨造成も実施しました。
前歯のインプラントは、とりわけ難易度が高い治療です。前歯のインプラント治療を難しくする大きな要因として、顎の骨が薄く骨の量が少ないことが挙げられます。このため、前歯のインプラント治療は特に高い技術を要します。
とはいえ、骨造成や歯肉移植などの補助的な治療によって、治療が可能になる場合もありますので、お近くのインプラント専門医にご相談ください。
広島県にある廿日市市平良「精密な検査とカウンセリング。原因から改善して、治療する」をモットーに、大阪で10年間勤務し、学んだ最先端の技術を、郊外でも最新の治療を提供すべく地域密着型の治療を提供している「かみなか歯科」です。
● 拡大鏡、歯科用顕微鏡を用いて7倍から20倍に拡大した視野のなか行う精密治療
● CTも用いた3次元診断
● 歯科麻酔医による全身管理の元、安全に行う外科処置
の3つの特徴を軸に安心、安全な治療を提供しております。
800本以上のインプラントを埋入してきた確かな実績を元に、CT分析ソフトを用いた事前シミュレーションと、歯科麻酔医による全身管理のもと安全に手術に臨めています。痛みや腫れが少ない麻酔を使用して、寝ている間に手術を終えることが可能です。
また、歯の温存を図る歯周病治療として、歯のクリーニングを行う機器の中で最も歯茎への負担が少ない「エアーフローマスター」を導入。歯周病菌の状況や変化も動画撮影し、口内のリスク管理を行います。歯周病により失った骨を再生させる再生療法を行う資格も取得しております。
関連記事
患者様から良く「インプラントは虫歯にならないから一生保つよね?」と聞かれます。
患者様から良く「インプラントは虫歯にならないから一生保つよね?」と聞かれます。 確かに、インプラントは人工物なので虫歯で穴が空く、なんて事はありえません。 ...続きを読む

インプラント治療を希望される患者様の多くは、骨の高さがなく、骨幅も薄いのです。
インプラント治療を希望される患者様の多くは、骨の高さがなく、骨幅も薄いのです。 抜歯しないといけない歯は重大な疾患を抱えています。(だからこそ抜歯に至って...続きを読む

All-on-4®︎(オールオン4)は、Dr.PauloMalo(パウロ・マロ)によって開発された、画期的なインプラント治療です。
All-on-4®(オールオン4)は、Dr.PauloMalo(パウロ・マロ)によって開発された、画期的なインプラント治療です。 オールオン4(A...続きを読む

今回はインプラントを長持ちさせる為に必要不可欠な処置のお話をします。
今回はインプラントを長持ちさせる為に必要不可欠な処置のお話をします。 インプラント周囲には骨が必要であり、その為に骨造成を行う、と過去のコラムでもお伝えし...続きを読む