インプラント治療を希望される患者様の多くは、骨の高さがなく、骨幅も薄いのです。
抜歯しないといけない歯は重大な疾患を抱えています。(だからこそ抜歯に至っているのですが) 多くの場合抜歯された歯周辺の骨は吸収しているのです。骨吸収の原因には、主に以下のようなことがあります。
骨吸収が大きい状態でインプラントを行う場合は骨の増大治療が必要になります。
骨増大法には、主に以下のような方法があります。
骨増大治療は、簡単な治療もあれば、非常に大変な治療もあります。 それでは、骨増大治療の詳細を、骨の幅を失ってしまったケースと高さを失ってしまったケースに分けて説明して行きます。
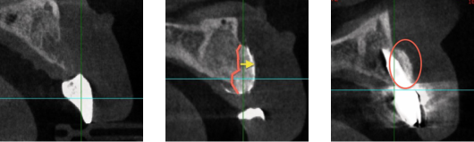
標準的なインプラントの直径は4.1mm~4.8mmとされインプラント周辺には2mmの骨幅が必要とされています。すなわち、インプラントを行う骨は8mm~9mmの幅が必要になります。(舌側2mm+インプラントの直径は4.1mm~4.8mm+頬側2mm)先ほど述べた通り、インプラント部の骨は吸収してることが多いため多くの場合骨を側方に増大させる側方GBRが必要になります。

ここで大変な骨増大治療を避ける方法が近年可能になりました。ナローインプラントの確立です。ナローインプラントとは標準径よりも小さい径のインプラントで、およそ3.5mm以下のものを指します。
インプラント体の直径が細いため、過重負荷に対するインプラント体の破折が危惧されることから、従来は咬合力負荷が小さい前歯部が適応症とされていました。しかしながら近年では、チタン性のインプラントに強度の高いジルコニアなどの材料を混和させることで強度が増し、奥歯部に併用しても長期的成績に問題がないとの報告されています。
これにより、狭い骨幅に対して骨増大治療を回避できたり、行ったとしても軽度の増大治療で済み、患者負担が大幅に軽減できるようになりました。
次回は骨の高さが不足したケースの治療法を説明していきます。
広島県にある廿日市市平良「精密な検査とカウンセリング。原因から改善して、治療する」をモットーに、大阪で10年間勤務し、学んだ最先端の技術を、郊外でも最新の治療を提供すべく地域密着型の治療を提供している「かみなか歯科」です。
● 拡大鏡、歯科用顕微鏡を用いて7倍から20倍に拡大した視野のなか行う精密治療
● CTも用いた3次元診断
● 歯科麻酔医による全身管理の元、安全に行う外科処置
の3つの特徴を軸に安心、安全な治療を提供しております。
800本以上のインプラントを埋入してきた確かな実績を元に、CT分析ソフトを用いた事前シミュレーションと、歯科麻酔医による全身管理のもと安全に手術に臨めています。痛みや腫れが少ない麻酔を使用して、寝ている間に手術を終えることが可能です。
また、歯の温存を図る歯周病治療として、歯のクリーニングを行う機器の中で最も歯茎への負担が少ない「エアーフローマスター」を導入。歯周病菌の状況や変化も動画撮影し、口内のリスク管理を行います。歯周病により失った骨を再生させる再生療法を行う資格も取得しております。
関連記事
天然歯においても歯を支える骨を歯周病から守る為には分厚い歯肉が必要であり、これが骨を守る鎧になるのです。
天然歯においても歯を支える骨を歯周病から守る為には分厚い歯肉が必要であり、これが骨を守る鎧になるのです。 ここで、インプラント周囲には天然歯の1.5倍の厚...続きを読む

骨の高さを失った部位にインプラントを行う方法をいくつか紹介させて頂きます。
骨の高さを失った部位にインプラントを行う方法をいくつか紹介させて頂きます。 前回のコラムでは骨の幅を失ったケースにおいてインプラントを行う場合、側方G...続きを読む

インプラント治療を希望される患者様の多くは、骨の高さがなく、骨幅も薄いのです。
インプラント治療を希望される患者様の多くは、骨の高さがなく、骨幅も薄いのです。 抜歯しないといけない歯は重大な疾患を抱えています。(だからこそ抜歯に至って...続きを読む

ショートインプラントとは、長さが8mm以下の短いインプラントの事を言います。
ショートインプラントとは、長さが8mm以下の短いインプラントの事を言います。 現在超高齢社会を迎えた日本において、インプラント患者の高齢化により全身状...続きを読む