株式会社Zenyum Japanが行った「新社会人の歯に関する意識調査」では、第4位に虫歯がランクインしました。虫歯が全体の29.2%を占めており、かなりの数の新社会人が自分の虫歯を自覚していることになります。
それにも関わらず歯科を受診しないのはなぜなのか。今回はそんな社会人になってからの虫歯について、治療法も含めて詳しく解説します。
はじめに、新社会人が虫歯に悩まされている理由について考えてみましょう。「虫歯に悩んでいる」と回答したということは、虫歯の存在に気づいているのは確かです。また、どうにしかしたいと考えていることも間違いないでしょう。そこでまず気になるのがなぜ就職前に虫歯を治さなかったのかという点です。
虫歯は、進行度によって症状が大きく変わります。虫歯の痛みが辛くて「今すぐにでも歯医者に行きたい」と心身ともに追い込まれるのは、歯の神経が侵されてからなのです。それまでは、日常生活に大きな支障をきたすこともないため、遊びや部活、アルバイトなどを優先してしまいます。それは大学生に限ったことではなく、日本人全般にいえることです。
歯科の先進国であるヨーロッパやアメリカでは「歯医者は予防のためにいくところ」という考え方が国民に広く根付いていますが、日本では「歯医者は痛くなってからいくところ」と考えるのが一般的です。そうした背景もあり、日本人は虫歯がある程度、進行するまで放置してしまうのでしょう。
虫歯は自然に治ることがない、進行性の病気です。具体的には、CO~C4という5つの段階を踏みながら、虫歯は徐々に進行していきます。
発生して間もない虫歯をCO(Caries Observation)と呼び、日本語では要観察歯(ようかんさつし)と訳されます。歯の表面に白いシミ(白濁)が生じている状態で、穴は開いておらず、痛みを感じることもありません。一見すると歯垢が付着しているように見えるため、虫歯だと考える人はほとんどいないでしょう。ただ、初期の虫歯では歯の内部が溶ける表層下脱灰(ひょうそうかだっかい)という現象が起こっており、そのままにしておくと穴が開くことから、適切に対処する必要があります。
COから少し進行すると、エナメル質に穴が開きます。エナメル質には歯の神経が分布していないため、痛みを感じることはありません。舌で触ると違和感があったり、穴の大きさによっては食べかすが詰まったりすることから、虫歯の存在に気づく人もいるでしょう。エナメル質の虫歯では、ごく稀に冷たいものがしみることがあります。
エナメル質の虫歯が進行すると、その下を覆っている象牙質にまで感染が広がります。象牙質には歯の神経が一部、入り込んでいるため、冷たいものや甘いものがしみやすくなります。ケースによっては、虫歯によって生じる穴である「う窩(か)」が大きくなることから、多くの人はその存在に気づきます。
ただ、C2の段階ではまだ虫歯特有のジンジンとした歯痛が生じないこともあり、放置する人がとても多くなっています。今回の社会人への意識調査でも、C1~C2の虫歯になっている人が大半を占めることでしょう。「日常生活には支障をきたさないけれど、虫歯は自覚しているのでその存在が気になる」といったケースが多いと思われます。
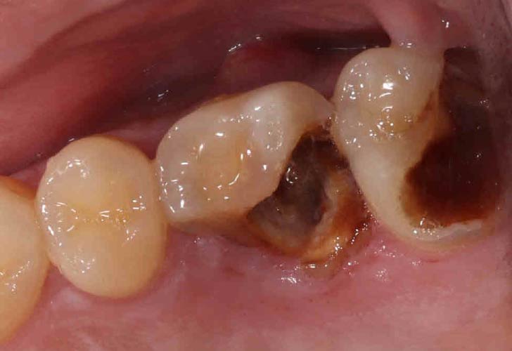
虫歯が象牙質を越えて歯の神経にまで達すると、いよいよジンジン・ズキズキといった自発痛が生じます。神経が細菌による攻撃を直接、受けているのですから、強い痛みが生じても何ら不思議ではありません。歯がズキズキと痛むと、物事に集中することが難しくなり、食事にも支障をきたします。とくに副交感神経が優位になる就寝前には歯痛が強まることから、睡眠を十分にとれなくなることもあるでしょう。これらは新社会人にとって致命的なダメージとなるため、早急に虫歯治療を受けるべきといえます。
意外に感じるかもしれませんが、この段階まで虫歯が進行しても、歯医者を受診しない人は一定数います。虫歯による自発痛は、交感神経が優位になる日中は弱まることから、ついつい歯科への受診を先延ばしにしてしまうのでしょう。その一方で副交感神経が優位になる就寝前に痛みが強くなるため、日中に歯科を受診しておけば良かったと後悔するサイクルを繰り返しがちです。とくに昼間に時間がない社会人は、このサイクルに陥る傾向にあります。
虫歯の最終段階であるC4は、残根状態(ざんこんじょうたい)と呼ばれます。歯の頭の部分である歯冠(しかん)がボロボロに崩壊し、歯根だけになった状態です。歯の神経は壊死しているため、痛みを感じることはありません。これまで苦しめられていたズキズキという歯痛が嘘のように消えてなくなることから、「虫歯が自然に治った」と誤解してしまいますが、実際は治っていないため、十分な注意が必要です。仕事が多忙な場合は、虫歯を残根状態まで放置してしまう可能性も十分にあり得ます。虫歯がここまで進行すると、逆に歯科を受診する動機がなくなり、さらに深刻な病態へと発展するケースも珍しくありません。
多くの人は虫歯を自覚しても、次に挙げる理由から放置してしまいがちです。
虫歯を治すためには、感染した歯質をドリルで削らなければなりません。その際に伴う痛みや振動、局所麻酔で針を刺す時の不快症状などが怖くて、歯科の受診を先延ばしにしてしまう人は多いです。実際の虫歯治療は、局所麻酔下で行うため、歯を削る時に痛みを感じることはほとんどありません。また、医療技術も進歩しており、麻酔注射を刺す時の痛みも最小限に抑えられるようになっています。
歯科への受診は、原則として予約が必要となります。また、夜間や週末に診療している歯科医院は一部に限られることから、平日の日中が忙しい社会人には予約を取ることすら難しいという現実があります。仮に予約が取れたとしても、虫歯治療が1回で終わるとは限りません。歯の神経まで達した虫歯では、根管治療も行わなければならないため、数週間から数ヵ月の期間を要します。そこまで考えると、歯医者に割く時間はないという結論に達するのでしょう。
虫歯は、全身の病気と比較すると軽く見られる傾向にあります。確かに、虫歯になっても食事が喉を通らなくなったり、発熱して1日中寝込んだりするようなことはありません。歯の痛みさえ我慢すれば、何とか乗り切れるだろうと考えている人も少なくないのでしょう。けれども、これはとても危険な考えなので、今日からでも改めることをおすすめします。なぜなら虫歯を軽く見て放置していると、さまざまなリスクが生じるからです。
虫歯を治療せず放置していると、次に挙げるリスクが生じます。
虫歯がC3以上になると、根管治療が必要となります。歯の神経を抜いて根管を洗浄・消毒する処置で、根管治療特有の痛みや不快症状に悩まされます。ケースによってはそうした治療が数ヵ月に及ぶこともあるため、可能な限り避けたいものです。しかも根管治療は必ず成功するわけではないのです。日本における保険診療の根管治療は、成功率が40%程度にとどまると言われており、多くのケースで再発や失敗のリスクが高くなっています。
根管治療を行っても症状の改善が見られないケースやC4まで進行したケースでは、抜歯を余儀なくされることが多いです。かけがえのない天然歯を失うことは、あなたにとって極めて大きな損失となることでしょう。歯を失ったままの状態にしておくと、見た目が悪くなるだけでなく、咀嚼機能や発音機能にも悪影響が及びます。失った歯を補う治療を行う場合でも、数週間から数ヵ月の通院が必要になったり、数万円から数十万円の費用がかかったりするのです。仮に費用が安い保険の入れ歯を選択したとしても、会話や食事の時に外れてしまったら社会人生活に大きな支障をきたすことでしょう。
虫歯による細菌感染は、歯の表面や根管だけにとどまりません。C3やC4の虫歯を放置していると、細菌をはじめとした汚染物質が根っこの先から漏れ出て、根尖部に病巣を作り始めます。これを専門的には根尖性歯周炎(こんせんせいししゅうえん)といいます。そこからさらに感染の範囲が広がると、顎骨骨髄炎(がっこつこつずいえん)や上顎洞炎(じょうがくどうえん)、蜂窩織炎(ほうかしきえん)といった歯性感染症へと発展するのです。重症例では、血液の中にまで虫歯菌が侵入して心臓へと到達し、感染性心内膜炎を発症することもあります。
こうしたリスクを考えると、虫歯は放置せず、できるだけ早い段階で治療を始めた方が良いといえます。
虫歯を治療する方法は、進行度に応じて変わります。
初期の虫歯は、歯科医院でのフッ素塗布で歯の再石灰化を促し、クリーニングやブラッシング指導でプラークコントロールを行っていきます。正しいケア方法を身に付けて、衛生的な口内環境を築けるようになれば、C1へと進行することはありません。
エナメル質にとどまる軽度の虫歯は、感染した歯質を削った上で、コンポジットレジンを充填します。虫歯の範囲が広い場合は、詰め物を装着することもあります。
象牙質の虫歯でも、範囲が狭ければコンポジットレジンで対応できますが、範囲が広い場合は、歯を切削した後に詰め物や被せ物を装着します。
歯の神経を抜いて、根管を清掃します。その上で土台を作り、被せ物を装着します。
C4でも一部の症例で根管治療が適応されます。保存が難しいと診断した場合は、抜歯となります。抜歯後は、ブリッジ・入れ歯・インプラントといった補綴装置で欠損部を補います。
新社会人の方で虫歯が気になっている、あるいは虫歯の症状に悩まされている場合は、すぐにでも虫歯治療を受けることが推奨されます。おそらく、虫歯を放置しているのは、歯科治療に時間や手間をかけるくらいなら、痛みを我慢しながら仕事に専念し、空いた時間は趣味に当てたいと考えているのではないでしょうか。けれどもそれは結果として、デメリットが勝ることになると断言できます。逆に、虫歯治療を受けることで、次に挙げるようなメリットを得られます。
虫歯は、適切な方法で治療すれば完治できる病気です。感染した歯質を削り、コンポジットレジンやインレーを詰めれば、虫歯による不安や不快症状から解放されれば、仕事にも専念できるようになります。
虫歯治療は早期に行うほど、費用が安く、期間も短くなります。かけがえのない天然歯を残せる可能性も高くなるのです。
虫歯によって食事に制限がかかったり、発音・滑舌が悪くなったりすることは、社会人生活に支障をきたす場面も少なくありません。とくに前歯の虫歯は、口元の審美性を大きく低下させるため、仕事に差し支えが生じることでしょう。虫歯治療で歯の機能や審美性を回復されば、これまで通りの生活を送れるようになります。
今回は、新社会人の3割が悩んでいる虫歯の特徴や放置するリスク、治療する方法などについて解説しました。虫歯は自然に治ることがなく、放置するほどに進行度が増す病気なので、自覚した時点で歯科を受診するのが望ましいです。社会人になりたての頃は歯科のために時間を割くのも難しいかもしれませんが、今後のことも考えて早期に治療を受けましょう。
広島県にある廿日市市平良「精密な検査とカウンセリング。原因から改善して、治療する」をモットーに、大阪で10年間勤務し、学んだ最先端の技術を、郊外でも最新の治療を提供すべく地域密着型の治療を提供している「かみなか歯科」です。
● 拡大鏡、歯科用顕微鏡を用いて7倍から20倍に拡大した視野のなか行う精密治療
● CTも用いた3次元診断
● 歯科麻酔医による全身管理の元、安全に行う外科処置
の3つの特徴を軸に安心、安全な治療を提供しております。
800本以上のインプラントを埋入してきた確かな実績を元に、CT分析ソフトを用いた事前シミュレーションと、歯科麻酔医による全身管理のもと安全に手術に臨めています。痛みや腫れが少ない麻酔を使用して、寝ている間に手術を終えることが可能です。
また、歯の温存を図る歯周病治療として、歯のクリーニングを行う機器の中で最も歯茎への負担が少ない「エアーフローマスター」を導入。歯周病菌の状況や変化も動画撮影し、口内のリスク管理を行います。歯周病により失った骨を再生させる再生療法を行う資格も取得しております。
関連記事
骨の高さを失った部位にインプラントを行う方法をいくつか紹介させて頂きます。
骨の高さを失った部位にインプラントを行う方法をいくつか紹介させて頂きます。 前回のコラムでは骨の幅を失ったケースにおいてインプラントを行う場合、側方G...続きを読む

患者様から良く「インプラントは虫歯にならないから一生保つよね?」と聞かれます。
患者様から良く「インプラントは虫歯にならないから一生保つよね?」と聞かれます。 確かに、インプラントは人工物なので虫歯で穴が空く、なんて事はありえません。 ...続きを読む

天然歯においても歯を支える骨を歯周病から守る為には分厚い歯肉が必要であり、これが骨を守る鎧になるのです。
天然歯においても歯を支える骨を歯周病から守る為には分厚い歯肉が必要であり、これが骨を守る鎧になるのです。 ここで、インプラント周囲には天然歯の1.5倍の厚...続きを読む

今回はインプラントを長持ちさせる為に必要不可欠な処置のお話をします。
今回はインプラントを長持ちさせる為に必要不可欠な処置のお話をします。 インプラント周囲には骨が必要であり、その為に骨造成を行う、と過去のコラムでもお伝えし...続きを読む