天然歯においても歯を支える骨を歯周病から守る為には分厚い歯肉が必要であり、これが骨を守る鎧になるのです。
ここで、インプラント周囲には天然歯の1.5倍の厚みの歯肉が必要になります。インプラント周りの歯肉の厚みが2mm以下だと1.45mm骨が吸収し、2.5mmだと骨が吸収しないと言われています。しかし、歯を失ってからは骨が吸収するだけではなく歯肉も吸収する為インプラント周囲には薄い歯肉しか存在しません。特に頬側の歯肉が吸収され薄くなります。
そこでインプラントの頬側に分厚い歯肉を作る必要があります。
その方法には2種類あります。
ではそれぞれ詳しく見ていきます
前回お話した角化歯肉を作る処置でも口蓋から歯茎を切り取って移植してましたが、今回は表に貼るのではなく、歯茎の中に移植します。カンガルーの袋の中に入れ込むイメージです
前歯への歯肉移植は特に高度な技術が必要です。前歯への歯肉移植が難しい理由については、下記の記事を参考になさってください。
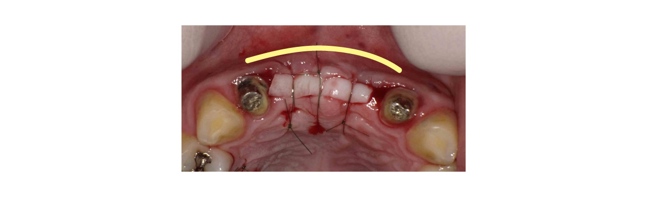
歯茎を詰めたのちに縫合を行います。歯茎を詰めたことにより頬側の歯肉が厚みを増して膨らんでいます。
頬側に折り込まれたことにより頬側の歯肉が厚みを増して膨らんでいるいます。
以上のように、インプラント周りに骨を作ることは骨の中にインプラントが埋入されないといけないので当然必要です。それに加えて分厚い歯茎を作らないと作った骨も吸収してしまいインプラントが長く生存できないのです。インプラントは歯が入って終わりではなく、長持ちしないといけません。分厚い歯茎を作ることは見落とされがちですが、とても重要な手段になります。
またこの技術は、上の前歯のような審美に関わる部分においても重要な処置になります。
次回は前歯のインプラントを審美的に仕上げる方法をお伝えします。
広島県にある廿日市市平良「精密な検査とカウンセリング。原因から改善して、治療する」をモットーに、大阪で10年間勤務し、学んだ最先端の技術を、郊外でも最新の治療を提供すべく地域密着型の治療を提供している「かみなか歯科」です。
● 拡大鏡、歯科用顕微鏡を用いて7倍から20倍に拡大した視野のなか行う精密治療
● CTも用いた3次元診断
● 歯科麻酔医による全身管理の元、安全に行う外科処置
の3つの特徴を軸に安心、安全な治療を提供しております。
800本以上のインプラントを埋入してきた確かな実績を元に、CT分析ソフトを用いた事前シミュレーションと、歯科麻酔医による全身管理のもと安全に手術に臨めています。痛みや腫れが少ない麻酔を使用して、寝ている間に手術を終えることが可能です。
また、歯の温存を図る歯周病治療として、歯のクリーニングを行う機器の中で最も歯茎への負担が少ない「エアーフローマスター」を導入。歯周病菌の状況や変化も動画撮影し、口内のリスク管理を行います。歯周病により失った骨を再生させる再生療法を行う資格も取得しております。
関連記事
歯をすべて失ってしまわれた方の治療方法としては以下の3つの方法があります。
歯をすべて失ってしまわれた方の治療方法としては以下の3つの方法があります。 歯をすべて失ってしまった方の治療方法としては、以下の3つの方法があります。 ...続きを読む

ショートインプラントとは、長さが8mm以下の短いインプラントの事を言います。
ショートインプラントとは、長さが8mm以下の短いインプラントの事を言います。 現在超高齢社会を迎えた日本において、インプラント患者の高齢化により全身状...続きを読む

All-on-4®︎(オールオン4)は、Dr.PauloMalo(パウロ・マロ)によって開発された、画期的なインプラント治療です。
All-on-4®(オールオン4)は、Dr.PauloMalo(パウロ・マロ)によって開発された、画期的なインプラント治療です。 オールオン4(A...続きを読む

患者様から良く「インプラントは虫歯にならないから一生保つよね?」と聞かれます。
患者様から良く「インプラントは虫歯にならないから一生保つよね?」と聞かれます。 確かに、インプラントは人工物なので虫歯で穴が空く、なんて事はありえません。 ...続きを読む