骨の高さを失った部位にインプラントを行う方法をいくつか紹介させて頂きます。
前回のコラムでは骨の幅を失ったケースにおいてインプラントを行う場合、側方GBRを行って骨を再生させる方法と、患者負担を軽減させるためにナローインプラントと呼ばれる直径の細いインプラントを用いる方法を紹介いたしました。
骨の高さを失った部位にインプラントを行う際は骨を再生させる必要がでてきます。
失った骨を再生させる方法に以下のものがあります。
上顎の奥歯の上に存在する骨の空洞になっている部分のことです。

上顎の奥歯にインプラントを計画する場合、この上顎洞との距離がポイントになります。距離が少ない場合、この骨の空洞に骨を作ってインプラントが埋入できる高さを確保します。

骨を作る方法はソケットリフトとサイナスリフトの2種類があります。 アプローチする方法が違います。


インプラントを埋入する為に骨を削りますが、その穴を利用し、上顎洞にアクセスして、骨になる材料を封入していきます。封入が完了すれば通常通りインプラントを埋入します。 通常のインプラントオペに一手間加えるだけですので、患者負担は少ない方法です。

上顎洞までの骨の距離が極端に少ない場合(5mm以下)、上顎洞の横の骨に穴を空けて、骨を作る為の材料を入れていきます。 ソケットリフトより一度に大量の材料を入れることが出来るため、多くの骨を作る事ができます。 6か月経過し、骨が再生した事を確認した後、インプラントを埋入しますので、2回に分けてオペをする事になります。 ソケットリフトより患者負担は大きく、腫れ、痛みを生じやすい方法になります。
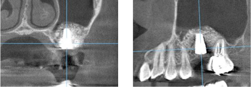
以下に、実際の症例を示します。
上顎洞までの距離はわずか2mmしかありません。 これではインプラントは出来ません。
下図のように上顎洞に骨になる材用を封入しました。
6か月経過後、再生した骨にインプラントを埋入しました。
その後、インプラントの上に被せ物をセットしました
次回は引き続き「垂直的GBR法、ショートインプラント」についてお話しさせて頂きます。
広島県にある廿日市市平良「精密な検査とカウンセリング。原因から改善して、治療する」をモットーに、大阪で10年間勤務し、学んだ最先端の技術を、郊外でも最新の治療を提供すべく地域密着型の治療を提供している「かみなか歯科」です。
● 拡大鏡、歯科用顕微鏡を用いて7倍から20倍に拡大した視野のなか行う精密治療
● CTも用いた3次元診断
● 歯科麻酔医による全身管理の元、安全に行う外科処置
の3つの特徴を軸に安心、安全な治療を提供しております。
800本以上のインプラントを埋入してきた確かな実績を元に、CT分析ソフトを用いた事前シミュレーションと、歯科麻酔医による全身管理のもと安全に手術に臨めています。痛みや腫れが少ない麻酔を使用して、寝ている間に手術を終えることが可能です。
また、歯の温存を図る歯周病治療として、歯のクリーニングを行う機器の中で最も歯茎への負担が少ない「エアーフローマスター」を導入。歯周病菌の状況や変化も動画撮影し、口内のリスク管理を行います。歯周病により失った骨を再生させる再生療法を行う資格も取得しております。
関連記事
インプラント治療を希望される患者様の多くは、骨の高さがなく、骨幅も薄いのです。
インプラント治療を希望される患者様の多くは、骨の高さがなく、骨幅も薄いのです。 抜歯しないといけない歯は重大な疾患を抱えています。(だからこそ抜歯に至って...続きを読む

インプラントの歴史は、1952年、スウェーデンのブローネマルクが「オッセインテグレーション(骨とチタンの結合)」を発見したことに端を発します。
インプラントの歴史は、1952年、スウェーデンのブローネマルクが「オッセインテグレーション(骨とチタンの結合)」を発見したことに端を発します。 もともと応...続きを読む

歯をすべて失ってしまわれた方の治療方法としては以下の3つの方法があります。
歯をすべて失ってしまわれた方の治療方法としては以下の3つの方法があります。 歯をすべて失ってしまった方の治療方法としては、以下の3つの方法があります。 ...続きを読む

患者様から良く「インプラントは虫歯にならないから一生保つよね?」と聞かれます。
患者様から良く「インプラントは虫歯にならないから一生保つよね?」と聞かれます。 確かに、インプラントは人工物なので虫歯で穴が空く、なんて事はありえません。 ...続きを読む