「株式会社Zenyum Japan」が行った新社会人の歯に関するアンケートでは、8割以上の人が歯に対する意識が高まったと答えています。
歯に関する悩みは第1位が「歯並び」(64.2%)、第2位が「歯の黄ばみ・着色」(50.0%)となっており、歯の見た目にコンプレックスを抱いている人が多いようです。そこで今回は、第2位の「歯の黄ばみ・着色」について、新社会人になるとなぜそれを意識するようになるのか、そもそも歯が黄ばむのはなぜか、歯の黄ばみを改善する方法などを詳しく解説します。
歯の黄ばみや着色というのは、比較的自覚しにくい症状です。私たちは毎日見ているものにすぐ慣れてしまうため、自分の歯が徐々に黄ばんでいったとしても気付くのが難しいのです。とくに学生時代は、食生活を始めとした生活サイクルが乱れがちなので、歯が黄ばみやすいです。また、歯のメンテナンスやクリーニング、ホワイトニングなどを定期的に受けている学生も一部に限られるでしょう。そのような環境では、自分の歯はもちろんのこと、他人の歯が黄ばんでいたとしても、あまり気にしないものです。
社会人になると、自己管理を行えていることが当たり前になります。風邪やコロナにかからないよう、体調の管理を徹底し、同僚や上司、取引先に迷惑をかけない。遅刻をしないためにも夜更かしはしない。それに加えて身なりを清潔に保つことも社会人としては重要な取り組みのひとつとなります。
例えば、寝癖がついていたり、ワイシャツやスーツにシワが寄っていたりする人に、仕事を任せたいと思うでしょうか?また、初めて会う取引先の人の歯並びがガタガタだったり、歯が黄ばんでいたりした場合は、ネガティブな印象を受けることは間違いありません。黄色い歯には「不潔」「臭い」「自己管理ができていない」といったイメージがあるため、この人に仕事を任せて本当に大丈夫だろうかと警戒する人もいるでしょう。
そうした背景から新社会になって自分の歯の黄ばみを気にする人が多くなるのだと思います。歯を白く、清潔に保つことは、お口の健康を維持しやすくなるだけでなく、社会生活における信用や信頼の醸成にも寄与するのです。
さて、新社会人になってから歯の黄ばみ・着色を気にする理由についてはご理解いただけたかと思いますが、そもそもなぜ歯は黄ばむのか。そのメカニズムについて知りたいという方も多いことでしょう。
歯が黄ばむメカニズムについて知る前に、まずは歯の構造と本来の色について確認しておきましょう。私たちの歯は、外側がエナメル質、内側が象牙質で構成されており、歯の中心部分には歯髄腔(しずいくう)という歯の神経が分布する空洞が存在しています。エナメル質は半透明の組織で美しい光沢を帯びています。
象牙質は薄い黄色をした組織で、光沢はありません。健康な人の歯は、エナメル質から象牙質が透けて見えるため、やや黄色みがかった見た目となります。つまり、私たちの歯は健全であっても真っ白ではないのです。その点を理解せず「とにかく歯を真っ白にしたい」と考えるのは良くありません。薬剤や治療で文字通り歯を真っ白にすると、逆に違和感が生じてしまいます。
歯が黄ばむメカニズムは、大きく4つに分けられます。それはエナメル質の表面に汚れが付着すること、エナメル質内部に色素やステインが浸透すること、エナメル質そのものが変色すること、エナメル質が摩耗して象牙質の色を透過しやすくなることの4つです。自分の歯の黄ばみがどれに該当するか気になる人は、歯科医師の診察を受けましょう。同じように見える歯の黄ばみでも、どうやって着色もしくは変色したのかによって対処法も変わってきます。
歯が黄ばんで見える症状には、着色と変色という違いがあるのをご存知でしょうか?
歯の着色は、わかりやすくいうと歯の表面に付着した、あるいはエナメル質内に浸透した汚れです。主に生活習慣が原因となる汚れなので、すべての人にそのリスクがあります。一方、歯の変色はエナメル質そのものの色が変わっている状態です。そのため歯の表面に汚れが付着しているだけの着色とは、重症度が異なります。この点も踏まえた上で、歯の着色・変色の原因と対処法を見ていきましょう。
歯の黄ばみ・着色の原因としては、以下の5つが挙げられます。
歯の着色の主な原因は、色素の強い食品です。例えば、コーヒーや赤ワイン、カレーなどは見るからに着色性が強そうですが、これらを習慣的に摂取することで歯が着実に黄ばんでいきます。とくにコーヒーや赤ワインといった嗜好品は、チビチビと時間をかけて飲むことが多いため、濃い色素がお口の中に長くとどまりやすく、歯を着色も起こりやすくなります。
歯垢はプラークとも呼ばれる汚れで、80%が水分、残りの20%のほとんどは細菌で構成されています。歯垢は本来、白色の汚れなのですが、そこに食品由来の色素などが沈着すると黄色味を帯びます。その結果、遠目から見ると歯自体が黄ばんで見えるようになるのです。
歯石は、歯垢が石灰化を受けて、石のように硬くなった汚れです。歯石も本来は白色を呈しているのですが、食品の色素などが沈着して徐々に黄ばんでいきます。しかも歯石は歯ブラシによるブラッシングで除去できないことから、口腔内に長い間とどまり続ける点に注意が必要です。歯石が沈着している期間が長くなるほど色も目立つようになり、範囲も広がっていきます。
タバコの煙に含まれるヤニは、歯を着色する原因となりやすいです。喫煙している人の部屋の壁や天井が黄ばんでいるのを見るだけでも、その着色性の強さがうかがい知れます。
実は、虫歯によって歯が黒ずむのも食品などに含まれる色素が原因です。虫歯菌が作った酸は、エナメル質や象牙質を溶かしてやわらかくします。その部分に色素が沈着して黒ずむのです。もちろん、虫歯によってできた穴に食べものが詰まって黄ばんで見えることもありますが、それは歯の着色とは異なります。
歯の着色は、次の方法で改善することが可能です。
歯の表面に付着した色素や歯垢は、歯ブラシによるブラッシングで取り除けます。そうした汚れを効率良く除去したいのであれば、「かため」の歯ブラシと研磨剤入りの歯磨き粉を使うのが良いのですが、エナメル質を傷つけたり、摩耗させたりするリスクがあるため、あまり推奨できません。基本的には「ふつう」か「やわらかめ」の歯ブラシと研磨剤が含まれていない歯磨き粉を使って、毎日ブラッシングするようにしてください。それでも残ってしまう色素や歯垢の除去は、プロフェッショナルケアに任せましょう。
セルフケアでは落とせない汚れは、クリーニングで取り除きます。口腔ケアの専門家である歯科衛生士が電動のブラシと研磨剤入りの薬剤を使って、歯の表面に付着した色素や歯垢を機械的に取り除きます。タバコのヤニのようなしつこい黄ばみには、自費診療のPMTCが適しています。微細なアミノ酸の粉末をジェット噴射で吹き付けるエアフローは、歯を傷めることなくステインまで除去できます。
歯石は、スケーラーと呼ばれる先端が鋭利な器具を使って削り取ります。歯科医院では、手で動かす手用スケーラーと電動の超音波スケーラーの2つを使い分けながら、歯石除去を行います。スケーリングは、薬局やドラッグストアでも手に入るスケーラーを使って自分で行うことも可能ですが、高度な技術と専門的な知識を要する処置であることから、専門家に任せた方が賢明です。自己流にスケーリングをすると、ほぼ間違いなく歯や歯茎を傷めます。
ここまでの方法で取り除くことができない歯の黄ばみは、エナメル質の内部にまで色素が沈着しています。そうしたケースに対してはホワイトニングが有効です。ホワイトニングとは、過酸化水素や過酸化尿素からなる薬剤を使って、歯を漂白する処置で、エナメル質の内部に沈着した汚れを化学的に分解・除去できます。ホワイトニングは、すべての処置が歯科医院で完結するオフィスホワイトニングと患者さんが自宅で施術するホームホワイトニングの2種類がありますが、どちらも必ず歯科医師の口腔内診査を受けることになるため、健康被害が生じるリスクは限りなくゼロに近いです。
歯の変色の原因としては、以下の4つが挙げられます。
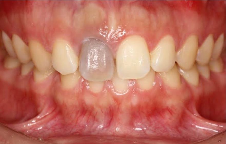
事故やスポーツで顔面を強打すると、歯の神経である歯髄(しずい)が死んでしまう場合があります。これを専門的には歯髄の失活(しっかつ)といいます。死滅した歯髄の細胞が分解され、歯の裏側に沈着すると、全体が黒ずんで見えるようになります。歯髄の失活による歯の変色は、外傷を受けた歯だけに症状が現れるため、その他の原因と見分けやすいのが特徴です。
エナメル質が正常に形成されず、複数の歯に白色や黄色の変色が見られる病気です。エナメル質形成不全の原因としては、母体の栄養障害・内分泌障害・台車以上・ホルモン異常などが挙げられます。乳歯が重度の虫歯になったり、外傷を受けたりすることでも、次に生えてくる永久歯にエナメル質形成不全が見られる場合もあります。
歯のフッ素症は、濃度が比較的高いフッ化物を習慣的に摂取した場合に見られる症状で、歯列の広い範囲に渡って白色や褐色の異常が見られます。一般的には、フッ素が含まれた水道水を飲用する「フロリデーション」によって引き起こされることから、日本ではそれほど多くはない歯の変色の原因といえます。
テトラサイクリンという抗生物質を習慣的に服用することで生じる歯の変色です。歯列全体に灰色がかった縞模様が見られるのがテトラサイクリン歯の特徴です。
歯の変色は、次に挙げる方法で改善できます。
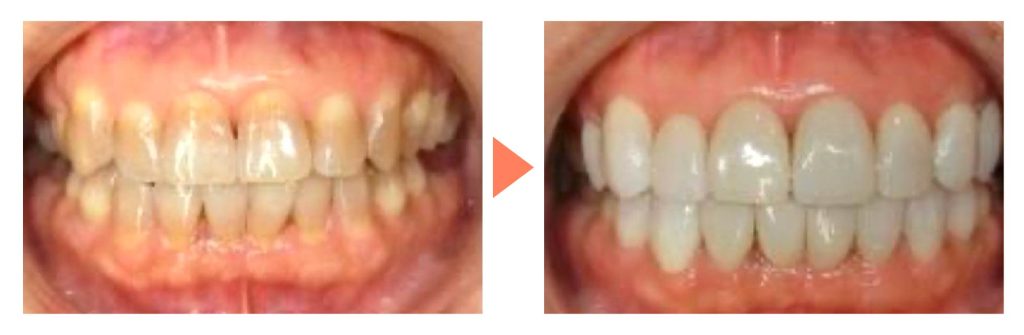
歯の表面を一層削って、厚さ0.5mm程度のセラミックチップを貼り付ける治療法です。歯の切削はエナメル質の範囲内にとどまることから、施術に痛みを伴うことはありません。局所麻酔も不要で、手軽に歯の変色を改善できますが、基本的には前歯部のみが適応となります。
セラミック製の被せ物を装着する治療法です。重症度の高い歯の変色はもちろん、強い力がかかる奥歯にも適応できます。また、セラミッククラウンなら歯の形や大きさ、ちょっとした歯並びの乱れも同時に改善可能です。
ここまでは歯の黄ばみや黒ずみなどを改善する方法について解説してきました。新社会人になって、歯の黄ばみが気になっている方も自分にぴったりの解決方法が見つかったのではないでしょうか。クリーニングやホワイトニング、セラミック治療などで歯の色を美しくできれば、笑顔に自信が持てるようになり、社会人生活に楽しくなることでしょう。歯が汚いという理由だけで、不当な評価を受けることもなくなります。
もちろん、歯の黄ばみや黒ずみに対してどう感じるかは、人によってさまざまです。歯が黄ばんでいても、社会的に成功している人はたくさんいますよね。同時に、歯の着色・変色は、セルフケアを徹底したり、歯科医院での施術を受けたりすることで改善できるのも事実です。それならばそれぞれが可能な範囲で歯の色をケアしても良いのではないでしょうか。歯の色を白く保つことは、歯の健康にも直結します。それはこれからの長い社会人生活を送っていく上でも大きな資本となることでしょう。
このように、歯の着色や変色には、それぞれの原因に応じた改善方法が用意されていますので、歯の黄ばみが気になる人はまず歯科医院を受診することをおすすめします。歯の黄ばみを自己流で解決しようとすると、かえって症状が悪くなったり、取り返しのつかない歯のトラブルへと発展したりすることもあるため、十分な注意が必要です。歯の専門家である歯科医師なら、患者さんそれぞれの症状に合った解決方法を提案してくれることでしょう。
段原クレドデンタルクリニック院長の高橋由佳と申します。
2020年4月に南区段原山崎にて開院致しました。
歯科医院というと、痛みのイメージから不安を持つ方も多いと思います。
痛い、歯が欠けた、食事が取りにくい・・・
でも歯医者に行くのは怖い・・・
歯医者に通ってもどうなるかわからない、何をされるかわからない・・・
と不安な思いをしていませんか?
よくわからないということから不安や恐怖心は生まれてきます。
だからこそ、当院では、
・患者さんの要望をしっかり聞くこと
・治療内容をしっかり説明すること
・そしてその患者さんにあった治療の提案と提供をすること
を心がけています。
患者様の希望を聞き、きちんと検査をして、現状を十分説明し、患者様と一緒に、治療の方針を決めていくようにしています。
また、治療の際は極力、痛みがないように注意を払って行っておりますので、不安や、恐怖心が強いなど治療に関する不安や要望があれば遠慮なくおっしゃってください。
どんな相談でもしていただけるような、明るく優しい医院にしていきたいと思っています。宜しくお願い致します。
関連記事
「株式会社Zenyum Japan」が行った新社会人の歯に関するアンケートでは、8割以上の人が歯に対する意識が高まったと答えています。
「株式会社Zenyum Japan」が行った新社会人の歯に関するアンケートでは、8割以上の人が歯に対する意識が高まったと答えています。 歯に関する悩み...続きを読む